Loss of anchorage of miniscrews: A 3-dimensional assessment
Welcome Website Dr.Yassin Braces & Veneer & Implant

2017-02-20

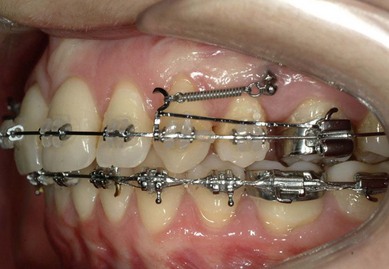
 Introduction: Miniscrews have exponentially empowered the orthodontic anchorage armamentarium.

However, the behavior of miniscrews under loading has not yet been fully investigated. Methods: Forty

miniscrews were used for retraction of the maxillary and mandibular canines into the spaces of extracted first

premolars. After a healing period of 2 weeks, a loading force was applied between 150 and 250 g for 6 months.

The displacement of the miniscrews, their placement angles, and their implanted percentages into the bone

were assessed by using superimposed 3-dimensional volumes of the maxilla and the mandible before and

after 6 months of loading of the miniscrews.

 Results: Miniscrews were displaced in the direction of orthodontic loading. The displacement was experienced in the movement of the head and tail, and extrusion of the miniscrews.

These movements were not correlated with the placement angle or the length of miniscrews in the

Bone

 

ref. (Am J Orthod Dentofacial Orthop 2009;136:700-7

Amr Ragab El-Beialy,a Amr Mohamed Abou-El-Ezz,b Khaled Hazem Attia,c Ahmad Mohamed El-Bialy,d

and Yehya Ahmed Mostafae   Cairo, Egypt 

 

Edit&Sum.by  Mohamed Yassin



Loss of anchorage of miniscrews: A 3-dimensional assessment Loss of anchorage of miniscrews: A 3-dimensional assessment Loss of anchorage of miniscrews: A 3-dimensional assessment Loss of anchorage of miniscrews: A 3-dimensional assessment Loss of anchorage of miniscrews: A 3-dimensional assessment